Loading Content

Dental Treatment Results

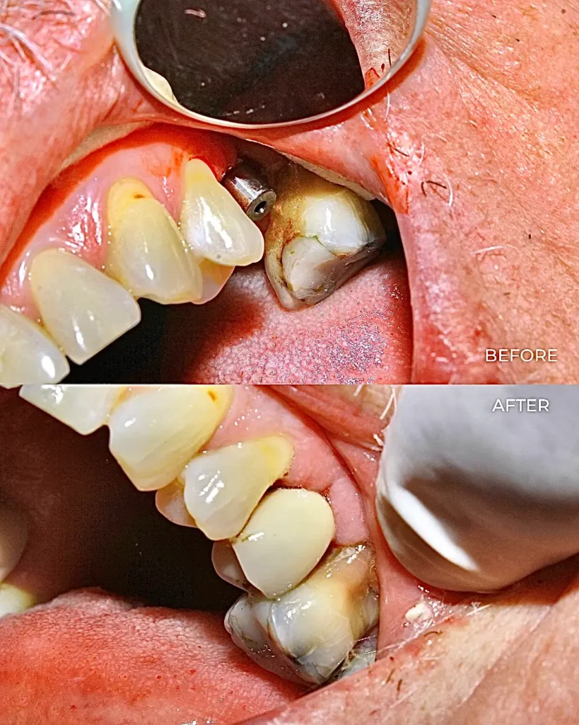
OUR HIGH QUALITY TREATMENT RESULTS

Dental assistance icon graphic decoration bottom left
Dental assistance icon graphic decoration bottom right

Before & After

Real Smiles, Real Results

Discover the power of professional dental care through real transformations. Every smile in our gallery is the result of personalized treatment and world-class expertise.

Our Treatment Results

Explore Our Patients’ Smile Transformations

See how expert care and advanced treatments have transformed real smiles. These photos show the confidence and beauty our patients gained — your new smile could be next.

Your Turn

Ready to Transform Your Smile?

We’ve helped hundreds of patients achieve their dream smiles — now it’s your turn. Book a free consultation today and start your own journey to a healthier, more confident smile.

Dental Checkup on Bali Dental Assistance

Our Treatments

Confidence Starts with a Healthy Smile

Our clinic provides comprehensive dental care, from implants and veneers to crowns and bridges — all handled by experienced dentists in Bali you can trust.